牛皮癣因外伤扩散怎么治疗?牛皮癣的扩散是很多原因导致的,首先是治疗方法不当,盲目的治疗也会导致牛皮癣病情扩散,而且治疗必须要选择在正规医院进行,那么,牛皮癣因外伤扩散怎么治疗?下面请郑州牛皮癣医院的专家为大家介绍。

1、牛皮癣诱因常与病毒感染、精神失常、内分泌障碍等有密切关系,每位患者常有牛皮癣症状,这就确实的说明了此病较难根治,不同的诱因产生的病变也不同,治疗更是需根据患者自身病情来选择。并不是任何患者都会出现外伤而严重刺激患者的表层皮肤,只有体内带有银屑病的病毒而出现的皮损,这也就是牛皮癣的特殊遗传病症。
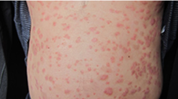
2、如何治疗外伤诱发的牛皮癣?在临床专家深入研究发现,患有牛皮癣的患者有11%因外伤而诱发的,如理发时头皮被剃破,大概在一周内会产生牛皮癣皮疹,也有跌伤、灼伤等发病的。
3、外伤导致局部牛皮癣是此病的主要症状,通过对表层皮肤的损伤,而产生遗传病变。如,青年男女在隆鼻手术治疗后回出现切口感染,不久,轻微的点滴状牛皮癣皮破会扩散全身,这就是牛皮癣患者的不良反应。
以上就是专家对“牛皮癣因外伤扩散怎么治疗”的相关介绍,相信大家对牛皮癣的扩散已经是比较了解了,在生活中患者们一定要避免牛皮癣的扩散,如果您还有治疗银屑病最好方法的相关疑问,可以点击在线咨询,在线专家详细为您解答。
本文链接地址:牛皮癣因外伤扩散怎么治疗 http://www.zgzxtz.com/npx/qsnnpx/zl/3740.html
手机版网址:牛皮癣因外伤扩散怎么治疗










































